MRI to Thermocoagulate Brain Tumors

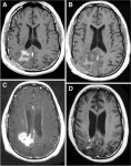
MRI US based thermocoagulation of tumors. [Neurosurgery – Current Table Of Contents] MRI guided ultrasound ablation of tumors, an experience from Israel with Zvi Ram reporting on 3 patients. Pre and Post ablation This is a technological tour de force, yet demonstrates how much further this technology needs to develop prior to widespread use. This evidences how technology will continue to drive neurosurgical practice.

Comments are closed.